Nhồi máu cơ tim cấp (NMCT) là một trong những nguyên nhân hàng đầu gây tử vong trên toàn cầu. Trong bối cảnh bệnh lý tim mạch ngày càng có xu hướng trẻ hóa, việc phát hiện sớm và can thiệp kịp thời đóng vai trò quyết định đến khả năng sống còn và chất lượng cuộc sống của người bệnh.
Các bác sĩ Khoa Nội Tim mạch 2 – Trung tâm Tim mạch – Bệnh viện Hữu nghị Đa khoa Nghệ An đã thực hiện thành công một ca can thiệp mạch vành cấp cứu, cứu sống bệnh nhân
Mới đây, các bác sĩ Khoa Nội Tim mạch 2 – Trung tâm Tim mạch – Bệnh viện Hữu nghị Đa khoa Nghệ An đã thực hiện thành công một ca can thiệp mạch vành cấp cứu, cứu sống bệnh nhân nam 37 tuổi, quốc tịch Trung Quốc, nhập viện trong tình trạng nhồi máu cơ tim cấp nguy kịch.
Tiếp cận nhanh – chẩn đoán chính xác trong cấp cứu tim mạch
Bệnh nhân nhập viện ngày 09/4/2026 với triệu chứng điển hình: Đau tức vùng ngức trái lan lên vai và lan ra tay trái, kèm theo khó thở. Khai thác tiền sử cho thấy bệnh nhân hút thuốc lá nhiều năm – một yếu tố nguy cơ quan trọng thúc đẩy xơ vữa động mạch vành và biến cố tim mạch sớm.
Ngay khi tiếp nhận tại Bệnh viện, các bác sĩ tại khoa Cấp cứu đã khẩn trương thực hiện quy trình cấp cứu nhồi máu cơ tim, phối hợp thăm khám lâm sàng, điện tim, các xét nghiệm cần thiết và hội chẩn các Bác sỹ chuyên khoa Tim mạch. Kết quả xác định bệnh nhân bị nhồi máu cơ tim cấp thành trước – một thể bệnh nguy hiểm, có thể diễn biến nhanh sang sốc tim, và tử vong cao.
Can thiệp mạch vành qua da – “chìa khóa vàng” cứu sống người bệnh
 |
 |
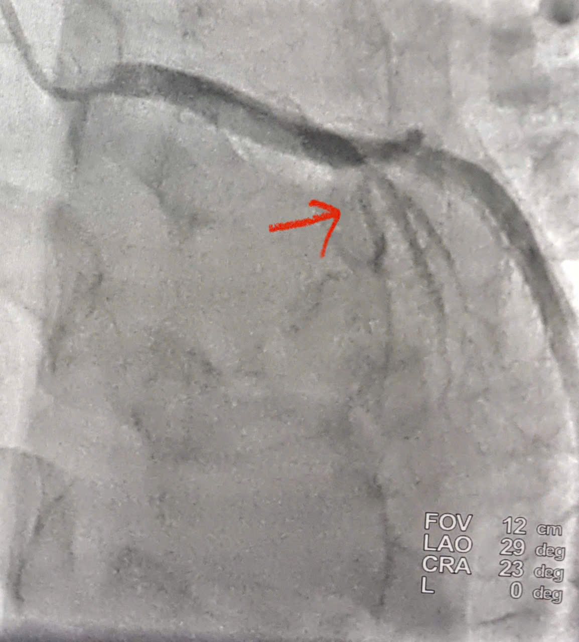
| Hình ảnh tắc động mạch liên thất trước đoạn 2 (LADII) (Hình mũi tên đỏ) |
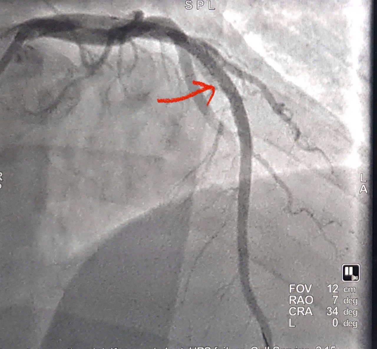
Hình ảnh động mạch vành được tái thông |
Bệnh nhân được chỉ định chụp động mạch vành cấp cứu bằng hệ thống chụp mạch số hóa xóa nền (DSA) qua đường động mạch quay phải – phương pháp hiện đại, ít xâm lấn, giúp rút ngắn thời gian can thiệp và giảm biến chứng.
Kết quả chụp mạch cho thấy tắc hoàn toàn động mạch liên thất trước đoạn II (LAD II) – nhánh mạch vành quan trọng cung cấp máu cho phần lớn cơ tim thất trái. Ê-kíp can thiệp đã nhanh chóng tiến hành nong bóng và đặt một stent phủ thuốc tại vị trí tổn thương (Theo hình ảnh minh hoạ). Thủ thuật diễn ra thuận lợi, dòng máu được tái lập ngay sau can thiệp, cải thiện rõ rệt tình trạng thiếu máu cơ tim. Trong cấp cứu nhồi máu cơ tim, yếu tố quyết định là thời gian. Mỗi phút trôi qua là một phần cơ tim bị hoại tử. Việc tái thông mạch vành càng sớm thì khả năng bảo tồn chức năng tim càng cao.
Hồi phục nhanh nhờ kỹ thuật ít xâm lấn
Sau can thiệp, bệnh nhân được theo dõi và điều trị nội khoa tích cực. Nhờ được tái thông mạch kịp thời và áp dụng kỹ thuật can thiệp hiện đại, bệnh nhân hồi phục nhanh, giảm đau rõ rệt, không xuất hiện biến chứng nặng. Đến ngày 13/4/2026, sau 4 ngày điều trị, tình trạng bệnh nhân ổn định, các chỉ số sinh tồn trong giới hạn cho phép và được xuất viện.
Cảnh báo xu hướng trẻ hóa bệnh lý tim mạch
Trường hợp bệnh nhân 37 tuổi lần này là minh chứng rõ ràng cho xu hướng trẻ hóa của bệnh lý nhồi máu cơ tim. Trước đây, bệnh thường gặp ở người lớn tuổi, tuy nhiên hiện nay ngày càng xuất hiện nhiều hơn ở nhóm bệnh nhân trẻ tuổi, đặc biệt ở nhóm bệnh nhân có nhiều yếu tố nguy cơ tim mạch. Các yếu tố nguy cơ như hút thuốc lá, căng thẳng kéo dài, chế độ ăn uống không lành mạnh, ít vận động… đang góp phần làm gia tăng tỷ lệ mắc bệnh tim mạch ở người trẻ.
Theo khuyến cáo của các chuyên gia
Người dân không nên chủ quan với các triệu chứng như đau ngực, khó thở, vã mồ hôi, buồn nôn… Khi có dấu hiệu nghi ngờ, cần đến ngay cơ sở y tế có khả năng can thiệp tim mạch để được xử trí kịp thời, tránh biến chứng nghiêm trọng.