Chụp cộng hưởng từ phổ (MRC) là kỹ thuật dùng từ trường và sóng RF để xác định nồng độ các chất chuyển hóa trong mô sống. Theo đó, cộng hưởng từ phổ não thường sử dụng các chất chuyển hóa chứa P, Na, K, C, N, F để đánh giá nồng độ các chất chuyển hóa để thu được phổ với các đỉnh tương ứng là nồng độ các chất trong vùng khảo sát.
1. Chụp cộng hưởng từ phổ não là gì?
Cộng hưởng từ phổ (MRC) là kỹ thuật dùng từ trường và sóng RF để xác định nồng độ các chất chuyển hóa trong mô sống.
Thực tế, cộng hưởng từ (MRI) thường quy sử dụng proton H+ trong nước để tạo hình, trong khi đó cộng hưởng từ phổ sử dụng các chất chuyển hóa chứa P, Na, K, C, N, F để đánh giá nồng độ các chất chuyển hóa, cộng hưởng từ phổ thu được phổ với các đỉnh tương ứng là nồng độ các chất trong vùng khảo sát. Các quá trình bệnh lý liên quan đến sự thay đổi các chất chuyển hóa này.
Các bước cơ bản trong khảo sát cộng hưởng từ phổ là lấy mẫu đo, định vị vùng đo, chọn chuỗi xung với thời gian TE, khối thể tích phù hợp và thu nhận phổ. Kết quả của cộng hưởng từ phổ được phân tích thành đường dạng biểu đồ phổ. Mỗi đỉnh của phổ đặc trưng bởi tần số, chiều cao, độ rộng và diện tích, chiều cao hoặc diện tích vùng bên dưới đỉnh tượng trưng cho nồng độ tương đối của chất chuyển hóa. Mỗi chất đều có vị trí nhất định trên phổ, tùy tần số tiến động. Các chất chuyển hóa cơ bản thường được ghi hình trên phổ là choline, Creatine, NAA, Lactate.
2. Mục đích/ý nghĩa của cộng hưởng từ phổ
Mục đích của cộng hưởng từ phổ là đánh giá nồng độ các chất chuyển hóa và các thay đổi có ý nghĩa chẩn đoán bệnh lý.

Cộng hưởng từ phổ giúp đánh giá các chất chuyển hóa như Lac (Lactate) gây nhồi máu não cấp
Các chất chuyển hóa cụ thể như sau:
– NAA (N-Acetylaspartate): Là chất chỉ điểm về mật độ và khả năng sống còn của sợi trục và tế bào thần kinh. NAA giảm trong hầu hết các trường hợp tổn thương não.
– Cr (Creatine): Là chất chỉ điểm cho chuyển hóa năng lượng ở mô não. Cr giảm trong u não, nhiễm trùng, hoại tử , xơ cứng não rải rác cấp…
– Cho (Choline): Là thành phần chuyển hóa phospholipid và là chất chỉ điểm của tăng sinh màng tế bào do u. Cho tăng cao trong u, chấn thương, viêm nhiễm, tăng áp lực thẩm thấu, mất myelin…
– Lac (Lactate): Là chất chỉ điểm các quá trình chuyển hóa đường kỵ khí. Lac tăng cao trong não úng thủy, giảm hay tăng thông khí, giảm oxy não, nhồi máu não cấp và bán cấp, hoại tử, tổn thương dạng nang, áp xe, u, mất myelin, các rối loạn chuyển hóa ty lạp thể.
3. Chỉ định/chống chỉ định cộng hưởng từ phổ?
3.1. Chỉ định cộng hưởng từ phổ trong u não với các trường hợp
– Cộng hưởng từ phổ là kỹ thuật không xâm lấn cho phép đánh giá các chất chuyển hóa trong mô u, cung cấp các thông tin về thành phần cấu tạo u.
– Cộng hưởng từ phổ được chỉ định trong u não bao gồm: chẩn đoán phân biệt tổn thương do u hay không do u, gợi ý bản chất mô học. Phân biệt u não nguyên phát và thứ phát. Đánh giá sự lan rộng của u, tiến triển của u, đáp ứng điều trị, xác định vị trí lý tưởng để sinh thiết.
– Độ chính xác của cộng hưởng từ phổ trong chẩn đoán u và không u là 95-100%. Các dấu hiệu chính của u não trên cộng hưởng từ phổ là tăng choline, Cho/NAA, Cho/Cr, tăng lipid, lactate, giảm NAA, giảm NAA/Cr, giảm Cr.
– Chẩn đoán phân biệt u não và di căn não: khi không có đỉnh NAA và Cr trên phổ cộng hưởng từ, không tăng cho ở vùng gợi ý di căn não.
– Độ nhạy, độ đặc hiệu và độ chính xác của cộng hưởng từ phổ trong đánh giá độ ác cao và thấp của u não tương ứng là 100%, 86% và 96%. Các chất chuyển hóa dùng đánh giá độ ác của u là Cho, lactate, NAA, CR, mI.
– Xác định vị trí sinh thiết: Cộng hưởng từ phổ có khả năng xác định các vùng có Cho tăng cao nhất, vùng có hoạt tính u cao nhất đáy là các vị trí lý tưởng khi sinh thiết.
– Cộng hưởng từ phổ dùng trong đánh giá đáp ứng điều trị, xác định u tái phát, còn sót sớm hơn so với cộng hưởng từ thường quy, ngay cả khi bệnh nhân có lâm sàng cải thiện, phân biệt u tái phát, còn sót với các bất thường không do u sau điều trị. Khi Cho tăng hoặc có tỉ lệ Cho/NAA tăng gợi ý sau u tái phát.
3.2. Chống chỉ định cộng hưởng từ trong các trong các trường hợp sau:
– Đang đặt máy tạo nhịp (pacemaker).
– Đã mổ thay van tim (van đó có thành phần kim loại).
– Mang trong người các vật liệu ghép từ tính.
– Máy kích thích thần kinh.
– Máy bơm tiêm tự động cấy trong người.
– Dị vật trong nhãn cầu (trong những trường hợp nghi ngờ thì phải chụp điện quang và yêu cầu khám chuyên khoa)
– Cặp mạch máu trong sọ.
– Không sử dụng với các bệnh nhân mang thai ở quý đầu.
– Các trường hợp chống chỉ định khác cần phải đánh giá nhờ chụp phim:
+ Có ống dẫn lưu bằng kim loại trong các hốc trong cơ thể.
+ Clips mạch máu.
+ Vật liệu hàn răng cố định.
+ Máy nghe gắn liền trong ốc nhĩ.
+ Khớp nhân tạo và các vật liệu kết xương (vít, nẹp,…) không có chống chỉ định nhưng có thể làm hỏng trường từ và sẽ không thể chuyển thành hình ảnh được.
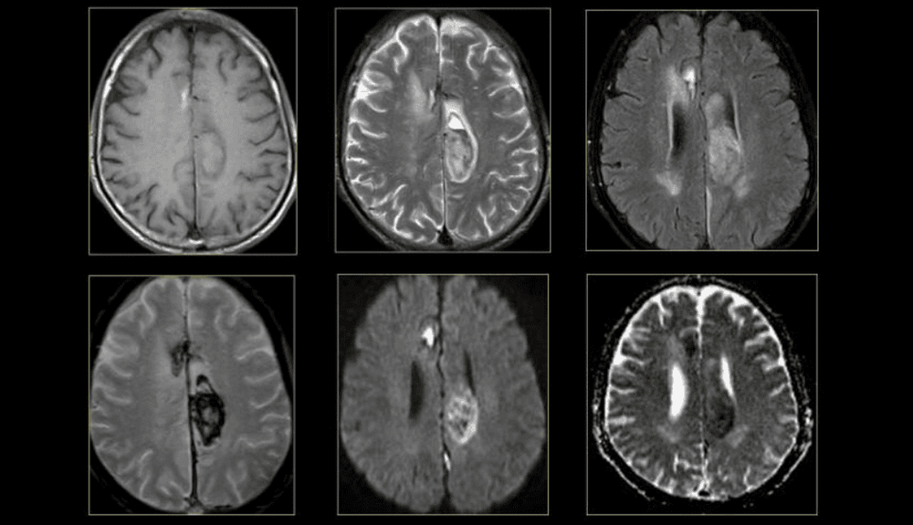
4. Cách thực hiện cộng hưởng từ phổ

Chụp cộng hưởng từ phổ giúp đánh giá sự lan rộng của u
Bước 1: Chuẩn bị
Sau khi được chỉ định chụp cộng hưởng từ MRI từ bác sĩ, bệnh nhân di chuyển đến khoa chẩn đoán hình ảnh sẽ được nhân viên phòng cộng hưởng từ tiếp đón và hướng dẫn thay đồ, tháo các vật dụng bằng kim loại trên người để đảm bảo an toàn trong khi chụp cộng hưởng từ. Khi vào phòng chụp được nhân viên hướng dẫn nằm ở tư thế thoải mái phù hợp với bộ phận chụp, giường sẽ tự động di chuyển đến vùng chụp.
Bước 2: Tiến hành
Kỹ thuật viên sẽ đặt bệnh nhân nằm vào trong máy IRM. Thông thường bệnh nhân sẽ nằm trong máy tháo răng giả, máy điếc, kính, đồ trang sức, cặp tóc, giầy, thắt lưng, tất cả những gì kim loại có ở trong túi (đồng tiền, bút, điện thoại di động, thẻ ATM…) sẽ được yêu cầu bỏ ra ngoài.
Thời gian chụp cộng hưởng tử sẽ dao động từ 40 – 60 phút. Bệnh nhân cần cố gắng nằm yên một tư thế để thu được thông tin, không bị nhiễu.
Trong một vài trường hợp cần tiêm thuốc tương phản từ nhân viên phòng cộng hưởng từ sẽ đặt một kim nhỏ vào ven ở vùng khuỷu tay và sẽ rút kim khi kết thúc thăm khám.
5. Ưu/nhược điểm của chụp cộng hưởng từ phổ
5.1. Ưu điểm
– Bệnh nhân không bị ảnh hưởng bởi tia xạ.
– Bệnh nhân không bị ảnh hưởng về mặt sinh học.
– Chẩn đoán phân biệt tổn thương do u hay không do u, gợi ý bản chất mô học. Phân biệt u não nguyên phát và thứ phát. Đánh giá sự lan rộng của u. Tiến triển của u, đáp ứng điều trị, xác định vị trí lý tưởng để sinh thiết.
– Chụp cộng hưởng từ phổ giúp đánh giá sự lan rộng của u
5.2. Nhược điểm
– Giá thành còn cao.
– Không dùng được nếu bệnh nhân bị chứng sợ nơi chật hẹp hay đóng kín, hội chứng sợ lồng kính (Claustrophobia)
– Thời gian chụp lâu: Gặp khó khăn nếu bệnh nhân nặng hay không hợp tác
– Không thể chụp bệnh nhân với máy tạo nhịp tim, các clip phẫu thuật, mô cấy ở mắt hay tai
– Không thể mang theo thiết bị hồi sức vào phòng chụp.
Cộng hưởng từ phổ não là một kỹ thuật đòi hỏi người có chuyên môn thực hiện cũng như hệ thống máy móc y tế hiện đại mới có thể đem lại chất lượng hình ảnh phục vụ công tác chữa bệnh.
Đoàn công tác của Tổ chức Latter-Day Saint Charities (LDSC) Hoa Kỳ và Liên hiệp các tổ chức Hữu nghị Việt Nam làm việc tại Bệnh viện Hữu nghị đa khoa Nghệ An
Bệnh viện Hữu nghị đa khoa Nghệ An tham dự trực tuyến Hội nghị toàn quốc quán triệt Nghị quyết số 79-NQ/TW và nghị quyết số 80-NQ/TW của Bộ Chính trị
Bệnh viện Hữu nghị đa khoa Nghệ An tổ chức chương trình “Tết nhân ái – Chợ tết 0 đồng” Xuân Bính Ngọ 2026
Bệnh viện Hữu nghị đa khoa Nghệ An tổ chức Hội nghị tổng kết hoạt động các tổ chức chính trị – xã hội năm 2025

Copyright © 2026 BỆNH VIỆN HỮU NGHỊ ĐA KHOA NGHỆ AN