1.Khái Niệm
Động mạch chủ là gì?
Động mạch chủ là động mạch lớn nhất trong cơ thể con người, dẫn máu có chứa nhiều oxy được bơm ra từ tim hoặc đưa máu đi xa khỏi tim của bạn. Động mạch chủ chạy xuyên qua ngực bạn, ở đó nó được gọi là động mạch chủ ngực. Khi động mạch chủ đi đến bụng của bạn, nó được gọi là động mạch chủ bụng. Động mạch chủ bụng cung cấp máu cho phần dưới cơ thể. Trong bụng, ngay phía dưới rốn, động mạch chủ chia thành hai nhánh, được gọi là những nhánh động mạch chậu, mang máu đến cho từng chân.

Phình động mạch chủ bụng là gì? Đó là khi một vùng bị yếu của động mạch chủ bụng giãn nở ra hoặc phình ra, nó được gọi là phình động mạch chủ bụng (AAA). Áp lực của máu chảy qua động mạch chủ bụng có thể khiến cho phần bị yếu của động mạch chủ phình ra, giống như một quả bóng. Đường kính động mạch chủ bụng dưới thận trung bình của người Việt Nam là 16 – 20 mm, khi đường kính ngang đoạn động mạch chủ bệnh lý ≥ 30 mm được gọi là phình động mạch chủ bụng. Túi phình bị vỡ có thể gây chảy máu trong nghiêm trọng, có thể dẫn đến sốc hoặc thậm chí là tử vong.
Các yếu tố liên quan với phình động mạch chủ bụng và nguy cơ vỡ khối phình:
– Yếu tố nguy cơ: tăng huyết áp vừa là yếu tố liên quan, vừa là yếu tố nguy cơ gây vỡ phình động mạch chủ bụng; hút thuốc lá, rối loạn lipid, đái tháo đường…
– Yếu tố thuận lợi: nam giới chiếm tới 90%, nhất là sau 60 tuổi, xơ vữa động mạch chủ bụng thường kết hợp với xơ vữa nhiều động mạch khác như động mạch vành, động mạch cảnh, chủng tộc (người da trắng bị nhiều hơn các chủng tộc khác).
– Yếu tố gia đình: liên quan đến phình động mạch chủ bụng trong khoảng 10 – 20% các trường hợp, đặc biệt nếu họ có quan hệ anh em trai. Cơ sở của mối liên hệ này là sự khác nhau về cấu trúc gen của họ, có sự bất thường trên nhánh dài của nhiễm sắc thể số 16 liên quan đến bệnh ở các thành viên của gia đình.
2.Triệu chứng của phình động mạch chủ bụng
Phần lớn bệnh nhân phình động mạch chủ bụng không có dấu hiệu cơ năng điển hình, thường được phát hiện khi đi khám bụng vì nguyên nhân khác hoặc vì khám sức khỏe định kỳ. Thường được nhận biết bằng các dấu hiệu:
– Khi khối phình động mạch chủ bụng to người bệnh có thể tự sờ thấy khối u ở bụng, đập theo nhịp tim.
– Đau âm ỉ kéo dài ở bụng hoặc đau lưng. Nếu thấy xuất hiện đau bụng đột ngột, đau nhiều, cần cảnh giác khối phình có thể sắp bị vỡ.

A man in a white shirt holds on to the belly, white background
– Trong những trường hợp hiếm, bạn có thể bị đau nhức, bị tím tái ở các ngón chân hoặc bàn chân vì những mãnh vỡ từ túi phình gây tắc mạch máu nhỏ ở bàn chân và các ngón chân.
– Nếu túi phình của bạn bị vỡ, có thể đột ngột cảm thấy mệt lả, chóng mặt hoặc đau thậm chí có thể mất ý thức. Đây là một tình huống nguy hiểm tính mạng và nên đi cấp cứu ngay lập tức.
Những xét nghiệm cận lâm sàng nào để chẩn đoán phình động mạch chủ bụng?
– Siêu âm bụng: Đây là xét nghiệm phổ biến nhất để chẩn đoán phình động mạch chủ bụng.
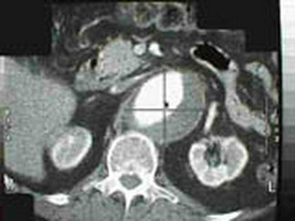
– Chụp CT bụng: Có thể phát hiện kích thước và hình dạng của phình động mạch.
– MRI bụng: Dùng để quan sát hình ảnh chi tiết về các cấu trúc bên trong vùng bụng.

Phình động mạch chủ bụng được điều trị như thế nào?

– Theo dõi định kỳ: Áp dụng cho túi phình nhỏ (thường dưới 5cm) và không có triệu chứng nghiêm trọng. Cần Siêu âm Doppler hoặc chụp CT-Scanner mỗi 6-12 tháng. Duy trì lối sống lành mạnh, kiểm soát huyết áp.
– Phẫu thuật:
+ Phẫu thuật mở thay đoạn động mạch chủ bụng: Khi khối phình ≥ 5cm hoặc khi phình có nguy cơ vỡ bác sỹ sẽ chỉ định phẩu thuật.
![]() |
![]() |
![]() |
+ Can thiệp nội mạch đặt ống ghép nội mạch ( Stent Graf )
Gọi là “nội mạch” là vì điều trị được thực hiện bên trong lòng động mạch bằng cách dùng những ống nhỏ dài và mỏng được gọi là catheters để luồn qua những động mạch. Phương pháp này ít xâm lấn hơn vì bác sĩ phẫu thuật thường sẽ chỉ cần thực hiện những đường rạch nhỏ ở vùng đùi để luồn những catheters vào đó. Đưa ống thông có gắn stent graft qua động mạch đùi đến vị trí phình để tạo đường dẫn máu mới, giảm áp lực lên túi phình. Thường áp dụng cho túi phình lớn hoặc bệnh nhân có bệnh nền. Đặt ốngghép nội mạch giúp giảm số ngày nằm viện, giảm các biến chứng, giảm tử vong, đặc biệt tử vong sớm; tuy nhiên giá thành của phương pháp điều trị này vẫn còn cao.
Cách phòng ngừa bệnh phình động mạch chủ
Cách tốt nhất để phòng ngừa và kiểm soát bệnh phình động mạch chủ bụng là giữ cho mạch máu càng khỏe càng tốt bằng cách:
– Không sử dụng riệu bia, thuốc lá.
– Kiểm soát tốt huyết áp.
– Kiểm soát mức cholesterol của bạn.
– Tập thể dục thường xuyên.
– Khám sức khỏe định kỳ.
Bệnh viện Hữu nghị đa khoa Nghệ An tổ chức chương trình “Sạch thơm mái tóc – Ấm tình yêu thương”
Bệnh viện Hữu nghị đa khoa Nghệ An cấp cứu, phẫu thuật kịp thời 05 bệnh nhân đa chấn thương nặng
Can thiệp mạch vành trong “giờ vàng” – Bệnh viện Hữu nghị đa khoa Nghệ An cứu sống bệnh nhân người nước ngoài bị nhồi máu cơ tim cấp
Bệnh viện Hữu nghị đa khoa Nghệ An chia sẻ kinh nghiệm quản lý y tế với Bệnh viện Đa khoa tỉnh Thanh Hóa

Copyright © 2026 BỆNH VIỆN HỮU NGHỊ ĐA KHOA NGHỆ AN