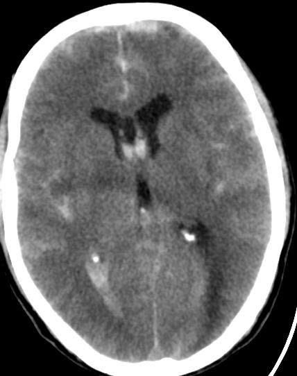
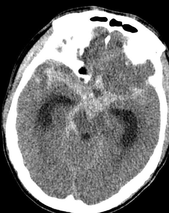
Phình mạch não là sự giãn khu trú bất thường của một động mạch não, là hậu quả của thiếu lớp cơ trong của thành mạch máu. Thành mạch yếu, giãn phình ra và trở nên mỏng, phát triển có thể dẫn đến vỡ đột ngột mà không báo trước, gây xuất huyết dưới nhện (SAH) – một biến cố nguy hiểm tính mạng, để lại di chứng nặng nề hoặc tử vong.
![]() |
![]() |
Phình mạch não chưa vỡ khá phổ biến trong dân số, chiếm khoảng 3,2% dân số người lớn trên toàn thế giới, tỷ lệ vỡ phình hàng năm của phình mạch não là 0,25%.
![]() |
![]() |
1. Vì sao phình mạch não nguy hiểm?
– Phình mạch não thường không có triệu chứng khi chưa vỡ.
– Khi vỡ, bệnh nhân có thể:
+ Đau đầu dữ dội, đột ngột (“đau đầu như sét đánh”).
+ Buồn nôn, nôn.
+ Rối loạn ý thức, hôn mê.
+ Liệt, rối loạn ngôn ngữ, cứng gáy …
– Tỷ lệ tử vong khi phình mạch não vỡ có thể lên tới 30–40%, nhiều người sống sót vẫn mang di chứng lâu dài.
2. Ai có nguy cơ cao bị phình mạch não?
– Người tăng huyết áp.
– Người hút thuốc lá, uống nhiều rượu bia.
– Người có tiền sử gia đình bị phình mạch não hoặc xuất huyết não.
– Người trung niên và cao tuổi.
– Người mắc bệnh mạch máu; vết thương hoặc chấn thương mạch máu.
– Biến chứng từ các loại nhiễm trùng khác.
3. Dấu hiệu cảnh báo KHÔNG được bỏ qua
Hãy đến cơ sở y tế ngay lập tức nếu có:
– Đau đầu dữ dội đột ngột, chưa từng gặp trước đây.
– Đau đầu kèm nôn, cứng cổ.
– Mờ mắt, sụp mi, nhìn đôi.
– Yếu liệt tay chân, nói khó.
– Mất ý thức
– Không tự ý uống thuốc giảm đau khi đau đầu dữ dội bất thường
4. Phình mạch não có phát hiện sớm được không?
👉 CÓ
Phình mạch não có thể được phát hiện sớm bằng:
![]() |
![]() |
– Chụp cắt lớp vi tính mạch máu não.
– Chụp MRI/MRA.
– Chụp DSA mạch não.
Việc phát hiện sớm giúp:
– Theo dõi chặt chẽ.
– Điều trị dự phòng.
– Ngăn chặn nguy cơ vỡ mạch não.
5. Điều trị phình mạch não như thế nào?
Tùy từng trường hợp, bác sĩ có thể:
– Theo dõi định kỳ.
– Can thiệp nội mạch (đặt coil, stent).
– Phẫu thuật kẹp cổ túi phình.
– Điều trị sớm giúp giảm rõ rệt nguy cơ tử vong và tàn phế.
6. Làm gì để phòng ngừa phình mạch não?
– Kiểm soát tốt huyết áp.
– Bỏ thuốc lá.
– Hạn chế rượu bia.
– Ăn nhạt, ăn uống lành mạnh.
– Khám sức khỏe định kỳ, đặc biệt khi có tiền sử gia đình.
Đau đầu dữ dội không phải lúc nào cũng “chỉ là đau đầu”. Phát hiện sớm – Điều trị kịp thời – Bảo vệ não bộ và tính mạng. Hãy đến cơ sở y tế khi có dấu hiệu nghi ngờ và khám tầm soát nếu bạn thuộc nhóm nguy cơ.
Đảng bộ Bệnh viện Hữu nghị đa khoa Nghệ An tổ chức lễ chào cờ kỷ niệm 96 năm ngày thành lập Đảng cộng sản Việt Nam (03/02/1930 – 03/02/2026)
Báo động đỏ liên viện: Cuộc chiến giành lại sự sống cho bệnh nhân chảy máu tối cấp ổ bụng
Hướng dẫn cách đăng ký Khám chữa bệnh Bảo hiểm Y tế ban đầu tại Bệnh viện Hữu nghị đa khoa Nghệ An
Tăng cường hợp tác chuyên môn giữa Bệnh viện Hữu nghị đa khoa Nghệ An và Bệnh viện Bệnh Nhiệt đới Trung ương

Copyright © 2026 BỆNH VIỆN HỮU NGHỊ ĐA KHOA NGHỆ AN