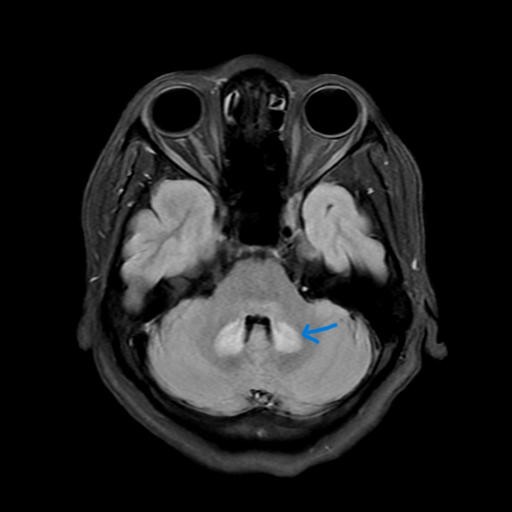
Gần đây khoa Thần kinh, Bệnh viện Hữu nghị đa khoa Nghệ An tiếp nhận một số ca bệnh tổn thương não nghi ngờ liên quan đến việc sử dụng thuốc lợi sữa không rõ nguồn gốc. Bệnh nhân nữ 41 tuổi, vào viện vì đau đầu, tê bì tay chân. Bệnh nhân sau sinh cách 1 tháng, có sử dụng thuốc lợi sữa không rõ xuất xứ. Khoảng 5 ngày nay, xuất hiện tình trạng đau đầu, nhìn một hình thành hai hình, tê bì tay chân, chóng mặt,mất thăng bằng, đi lại khó khăn. Chụp phim cộng hưởng từ não có hình ảnh tổn thương cầu não, hành não, tiểu não đối xứng hai bên. Đây là hồi chuông cảnh báo nghiêm trọng cho các bà mẹ sau sinh.
1. Thuốc lợi sữa là gì?
Thuốc lợi sữa là các loại thuốc, thực phẩm chức năng hoặc thảo dược được sử dụng với mục đích kích thích tăng tiết sữa mẹ. Hiện nay, nhiều sản phẩm lợi sữa được quảng cáo rộng rãi dưới dạng “thảo dược thiên nhiên”, “gia truyền”, “an toàn tuyệt đối”, khiến không ít phụ nữ sau sinh tự ý sử dụng mà không có tư vấn của nhân viên y tế.
2. Thực trạng đáng lo ngại
Trong thời gian gần đây, ngành y tế đã ghi nhận một số trường hợp người mẹ sau sinh có biểu hiện rối loạn ý thức, co giật, hôn mê, nhìn đôi, tê yếu tay chân nghi ngờ liên quan đến tổn thương não do ngộ độc thuốc lợi sữa không rõ nguồn gốc.
Đáng chú ý, trên thị trường có nhiều sản phẩm:
– Không có nhãn mác rõ ràng.
– Không được kiểm định chất lượng.
– Có thể chứa chất độc, kim loại nặng, corticoid, hoặc dược chất tân dược bị trộn trái phép
3. Ngộ độc thuốc lợi sữa có thể gây tổn thương não như thế nào?
![]() |
![]() |
Hình ảnh phim chụp cộng hưởng từ (MRI) của bệnh nhân
Một số hoạt chất độc hại khi đi vào cơ thể có thể:
– Gây rối loạn chuyển hóa.
– Ảnh hưởng đến hệ thần kinh trung ương.
– Làm giảm oxy não, gây phù não, xuất huyết não hoặc tổn thương não không hồi phục.
4. Các dấu hiệu cảnh báo cần đặc biệt chú ý:
– Đau đầu dữ dội, chóng mặt.
– Buồn nôn, nôn nhiều.
– Nhìn đôi, tê yếu tay chân.
– Lơ mơ, rối loạn ý thức, co giật, hôn mê.
– Khi có các biểu hiện trên, cần đến ngay cơ sở y tế gần nhất.
5. Những quan niệm sai lầm thường gặp
– “Thuốc nam, thuốc bắc thì luôn an toàn”.
– “Dùng theo kinh nghiệm truyền miệng là đủ”.
– “Uống càng nhiều thì càng nhiều sữa”.
Thực tế: Dù là thảo dược, nếu dùng sai cách, sai liều, hoặc bị pha trộn chất độc hại thì vẫn có thể gây hậu quả nghiêm trọng cho sức khỏe.
6. Khuyến cáo dành cho phụ nữ sau sinh
– Không tự ý sử dụng thuốc lợi sữa khi chưa có tư vấn của bác sĩ hoặc cán bộ y tế
– Không dùng sản phẩm không rõ nguồn gốc, không được cơ quan chức năng cấp phép
– Ưu tiên các biện pháp an toàn:
+ Cho trẻ bú đúng cách, bú sớm và bú thường xuyên
+ Ăn uống đầy đủ dinh dưỡng, uống đủ nước
+ Nghỉ ngơi hợp lý, giữ tinh thần thoải mái
🚨 Khi có dấu hiệu bất thường sau khi dùng thuốc lợi sữa, cần:
– Ngừng thuốc ngay lập tức.
– Đưa người bệnh đến cơ sở y tế gần nhất.
– Mang theo sản phẩm đã sử dụng để hỗ trợ chẩn đoán.
“Lợi sữa phải đi đôi với an toàn – Đừng đánh đổi sức khỏe và tính mạng chỉ vì niềm tin truyền miệng.”
Sức khỏe của người mẹ là nền tảng cho sự phát triển an toàn của trẻ. Hãy là người tiêu dùng thông thái, lựa chọn sản phẩm có nguồn gốc rõ ràng và luôn tham khảo ý kiến chuyên môn y tế.
Bệnh viện Hữu nghị đa khoa Nghệ An tổ chức chương trình “Bữa cơm Công đoàn – Giải nhiệt mùa hè”
Bệnh viện Hữu nghị đa khoa Nghệ An tổ chức khám sức khỏe trước khi bố trí việc làm cho viên chức, người lao động năm 2026
Bệnh viện Hữu nghị đa khoa Nghệ An tham dự Hội nghị khoa học lần thứ 6 Câu lạc bộ ung thư dạ dày Thế giới tại Thành phố Hồ Chí Minh
Công đoàn Bệnh viện Hữu nghị đa khoa Nghệ An đoạt cúp vô địch giải bóng đá nam công đoàn phường Vinh Phú 2

Copyright © 2026 BỆNH VIỆN HỮU NGHỊ ĐA KHOA NGHỆ AN